녹내장이란?
녹내장이란?
녹내장은 눈에서 받아들인 시각정보를 뇌로 전달하는 데에 있어 중요한 역할을 하는 시신경 및 신경섬유층이
안압 상승 등의 원인으로 인해 손상되어 시신경에 장애가 생겨 시야 결손 및 시력 손상을 일으키는 질환입니다.
당뇨병성 망막증, 황반변성과 함께 성인 3대 실명 원인을 차지하고 있고 빈도 또한 전 인구의 2% 정도로, 흔한 안과 질환 중의 하나입니다.
안압이 높아지는 경우 말기에 시력 저하가 나타나는 경우를 제외하고는 별다른 자각증상이 없어 조기 발견이 어렵고,
발견했을 때는 너무 늦어버린 경우가 많아 ‘소리없는 시력도둑’이라고도 합니다.
녹내장의 원인
안압상승
그러나 방수가 너무 많이 생성되거나 흐름에 장애가 생겨 제대로 빠져나가지 못하면 눈 속에 고이게 되고 눈의 압력인 안압도 함께 올라가 녹내장을 일으키게 됩니다.
정상 안압은 평균 10~21mmHg인데, 아주 높은 안압(30~50mmHg)을 제외하고는 대부분 환자가 느끼는 자각 증상이 거의 없기 때문에 늦게 발견되는 경우가 많습니다.
최근 정상 안압인 경우에도 녹내장이 발생하는 경우가 많아 안압만으로는 녹내장을 진단할 수 없고 발병과 관련한 중요 위험인자라고 볼 수 있습니다.
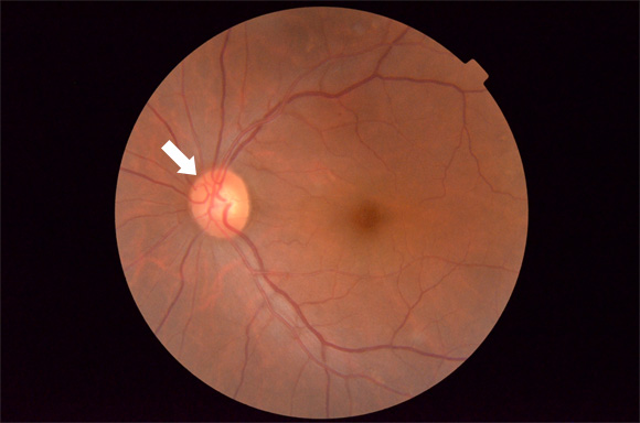
시신경의 손상
-
[정상 시신경] 동그란 시신경이 주황색으로 보임
-
[녹내장환자 시신경] 동그란 시신경이 손상되면서 흰색으로 보이고 점점 커짐
시야의 결손
녹내장 환자의 시야변화
주변주 시야가 좁아지면서 시력저하가 진행되어 말기까지 환자의 자각증상이 없어 병의 진단이 늦어지는 이유가 됩니다.
녹내장의 종류
원발성 개방각 녹내장
방수의 배출 부위의 저항이 증가하여 안압이 상승되면서 녹내장성 손상이 진행되는 경우(고안압 녹내장)와 안압이 흔히 정상범위로 알고 있는 21mmHg 이하이지만 녹내장성 손상이
발견되는 경우(정상안압 녹내장)로 나눌 수 있습니다. 시력은 시야 손상이 중기 이후로 진행될 때까지 계속 유지되기 때문에 자각 증상이 없는 경우가 대부분이며,
안과 검진을 하다가 우연히 발견되는 경우가 많습니다. 일차적으로는 약물 치료를 하며, 안압이 조절되지 않는 경우에는 수술을 하기도 합니다.
급성 폐쇄각 녹내장
대개 증상이 뚜렷하므로 응급실로 내원하는 경우가 많습니다. 안구의 해부학적인 구조가 변화하면서 발생하는 경우가 많기 때문에 노인이 갑작스런 안통과 편두통을 호소하는 경우
반드시 의심해 보는 것이 좋습니다. 레이저 시술 및 약물 치료를 통해 안압을 조절하며, 치료에 반응이 없거나 만성적 상태로 진행 시 수술을 시행하기도 합니다.
적절한 치료를 받지 못할 경우 치명적인 손상을 입을 수 있는 질환입니다
만성 폐쇄각 녹내장
또한, 급성 폐쇄각 녹내장의 발병 후 해부학적인 변화로 인해 만성적인 상태로 진행하는 경우가 있습니다. 약물 치료 및 레이저 치료를 시도해 보지만, 역시 안압 조절이 되지 않는 경우에는
수술을 시행하기도 합니다.
약물 치료와 관련한 녹내장
약물 사용을 중단하면 안압이 떨어지는 경우도 많지만 만성적인 안압 상승으로 인하여 수술적 처치를 받아야 하는 경우도 가끔 발생합니다.
의사의 처방 없이 일시적인 충혈 및 피곤감 제거를 위하여 자의로 약물 치료를 오래 한 경력이 있는 경우에는 안과 검진을 받아 보아야 합니다.
백내장, 망막 질환, 포도막염 등과 관련한 이차성 녹내장
유아 녹내장(선천 녹내장)
안구 내 구조가 정상아에 비해 다르며, 이러한 구조적 이상으로 인하여 안압이 상승하게 됩니다. 심한 경우 안구의 크기가 증가하거나 검은자가 뿌옇게 되는 증상이 나타나기도 합니다.
약물 치료를 시도해 볼 수 있지만 대개 효과가 좋지 않으며, 많은 경우 수술적 처치가 필요합니다.
고안압증
하지만 이러한 고안압증 환자의 경우 장기적인 경과 관찰 시 녹내장으로 진행하는 경우가 있으므로, 정기적인 안과 경과 관찰이 필요하며, 안압이 너무 높다거나
가족력이 있는 경우 등과 같이 위험 요인을 가지고 있는 환자의 경우에는 예방적인 약물 치료를 시작하기도 합니다.
녹내장 고위험군
40세 이상인 사람
따라서 정기적인 안과검진은 필수입니다. 그러나 최근에는 근시유병률이 높고 잦은 근거리 작업으로 인해 젋은층 환자도 점차 늘고 있는 추세입니다.
녹내장의 가족력이 있는 사람
형제 중 녹내장이 있는 경우 5~7배 이상 발병확률이 높은 것으로 알려져 있으므로 이에 해당하는 분이라면 조기에 검진을 받는 것이 중요합니다.
안압이 높은 사람
당뇨가 있는 사람
녹내장은 당뇨병의 합병증 중 하나로, 눈에 비정상적인 혈관을 만들어내고 눈으로부터 정상적인 수액의 흐름을 막아 안압을 높일 수 있습니다.

